Quem somos
|
Arquivo
|
Anuncie
|
Contato
|
Sua página inicial


início
prêmios
lavras tem
agenda
busca


Matéria Jornalística /


Publicada em: 27/11/2025 12:53 - Atualizada em: 27/11/2025 17:13
Ufla lidera inovação em IA sustentável e revoluciona saúde e agricultura em Minas Gerais

Equipe de pesquisa coordenada pelo professor Danton Diego Ferreira, do Departamento de Automática da Ufla

.

 @jornaldelavras     @jornaldelavras   (35) 99925.5481
 

Uma pesquisa de ponta desenvolvida na Universidade Federal de Lavras (Ufla) está redefinindo o conceito de Inteligência Artificial (IA) no Brasil. O projeto "Desenvolvimento de Sistemas de Reconhecimento de Padrões com Baixa Complexidade Computacional" foca na criação de soluções de IA Sustentável (Green Algorithms), que são mais leves, econômicas e acessíveis, capazes de funcionar em smartphones comuns e com baixo consumo de energia.
A iniciativa, financiada pela Fapemig (Fundação de Amparo à Pesquisa do Estado de Minas Gerais) com gestão da Fundecc, tem o objetivo de aplicar a ciência diretamente na solução de problemas sociais e econômicos do estado.
"A nossa ideia é executar tarefas complexas com modelos mais simples, que consomem menos energia e podem ser usados onde a tecnologia tradicional não chega. É ciência acessível com retorno social", afirma o coordenador do projeto, professor Danton Diego Ferreira, do Departamento de Automática da Ufla.
A pesquisa avança em quatro frentes (Saúde, Agricultura, Energia e Indústria), mas tem na saúde pública seu foco prioritário, gerando resultados promissores para o Sistema Único de Saúde (SUS).
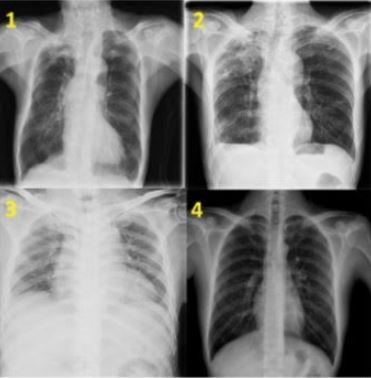
A equipe da Ufla desenvolveu um sistema de IA que pode analisar imagens de raios-X de pulmão (foto 1) para apoiar a triagem de tuberculose ativa. O mais inovador é que o diagnóstico preliminar pode ser feito a partir de uma simples foto da imagem tirada com um celular, agilizando o atendimento de uma doença que registrou cerca de 80 mil novos casos no Brasil em 2023.
Outra solução de alto impacto é o aplicativo CARPeDia (foto 2), criado para a prevenção do pé diabético, uma condição grave que levou a 11.326 amputações no SUS em 2023 - o que equivale a quase 30 amputações por dia.
A validação científica do aplicativo foi coordenada por Ana Cláudia Barbosa Honório Ferreira, doutora em Ciências e Saúde pela Unicamp e professora de Enfermagem do Unilavras. "O aplicativo facilita muito o trabalho do enfermeiro da atenção básica, porque identifica quem está em maior risco e permite priorizar o atendimento, o que pode evitar sofrimento e amputações que poderiam ser evitadas", expressou a doutora Ana Cláudia.
Apesar da alta eficiência comprovada em unidades de saúde, o CARPeDia aguarda articulação com o governo e parcerias com empresas para ser disponibilizado oficialmente no SUS.
O conceito de Green Algorithms da Ufla também está gerando inovações em outras áreas vitais para a economia mineira.
Em parceria com Epamig e Embrapa, a Ufla desenvolve um modelo de IA capaz de identificar doenças e pragas no cafezal (foto 3) a partir de uma foto feita com smartphone. Minas Gerais é o maior produtor de café do Brasil, respondendo por 52,7% da produção nacional.
Ainda está em desenvolvimento uma solução que identifica e localiza falhas em linhas de transmissão elétrica, indicando o quilômetro exato do problema. O protótipo será testado em colaboração com a Michigan Technological University (EUA) e tem potencial para gerar patente.
O projeto, que integra o Centro de Inovações em Automação e Inteligência Artificial (AIA/Ufla) e envolve cerca de 20 bolsistas e estudantes, conta com parcerias nacionais (Unicamp, UFRJ, UFJF, UFPI) e internacionais (Polônia, Irlanda e Estados Unidos).
"A inteligência artificial está, finalmente, chegando onde faz diferença concreta - da triagem de doenças ao manejo do café. É assim que a pesquisa cumpre seu papel: melhorando a vida das pessoas", conclui o professor Danton Ferreira.

 

 
 



.
 
.
www.jornaldelavras.com.br
Para quem leva a informação a sério.


 

Voltar Envie para um amigo


 www.jornaldelavras.com.br
Para quem leva a informação a sério.
WhatsApp: (35) 9 9925-5481
Instagram e Facebook: @jornaldelavras